TamuBetMPOATMTransisi Audio Dan Putaran Wild BountyPola Baru di Mahjong Ways Bawa PerubahanRTP PG Soft Lebih Unggul Dari Pragmatic

The Journal of Advances in Parasitology

Research Article
J. Adv. Parasitol. 4(1): 23-27
 
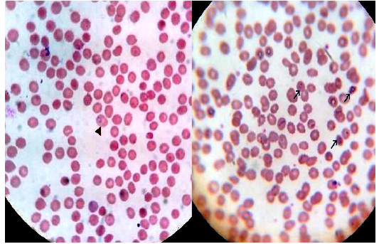
Figure 1

Thick blood film stained with Lieshman stain showing Plasmodium falciparum ring stages with magnification power 100x. 

Figure 2

Thick blood film stained with Lieshman stain showing Plasmodium falciparum ring (long arrows) and gametocytes stages(short arrows) with magnification power 100x 

Figure 3

Thick blood film stained with Lieshman stain showing Plasmodium vivax ring and trophozoites stages with magnification power 100x 

Figure 4

Thin blood film stained with Lieshman stain showing Plasmodium vivax ring stages with magnification power 100x 

Figure 5

Thin blood film stained with Lieshman stain showing Plasmodium vivax gametocytes (long arrows) and shizonts (short arrows) with magnification power 100x