Advances in Animal and Veterinary Sciences
Gross appearance of GIT Showing:
A- Rumen B- Abomasum C- Small intestine D- Cecum E-Colon
Gross appearnce of GIT Showing:
A- Small intestine B- Cecum C- Colon
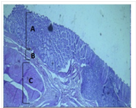
Histological section of cecum Showing:
A- Mucosa B- Submucosa C- Muscularis Externia H&E 40X
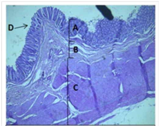
Histological section of colon Showing:
A- Mucosa B- Submucosa C- Muscularis Externia D- Folded H&E 40X
Histological section of cecum Showing:
A- Mucosa B- Epithelium C- Lamina proparia D- Goblet cell E- Crypts of lieberkuhn F- Muscularis mucosa G- Submucosa H- Muscularis Externia H&E 100X
Histological section of colon Showing:
A- Mucosa B- Epithelium C- Lamina proparia D- Goblet cell E- Crypts of lieberkuhn F- Muscularis mucosa G- Submucosa H- Muscularis Externia H&E 100X
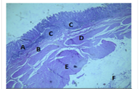
Histologiccal section of cecum Showing:
A- Mucosa B- Submucosa C- Lymphatic nodules D- Inner layer of muscularis Externia E- Outer longitudinal layer of muscularis Externia F- Serosa H&E 40X
Histological section of colon Showing:
A- Mucosa B- Submucosa C- Inner circular layer of muscularis Externia D- Outer longitudinal layer of muscularis Externia (taenia coli) E- Serosa H&E 40X












