Advances in Animal and Veterinary Sciences
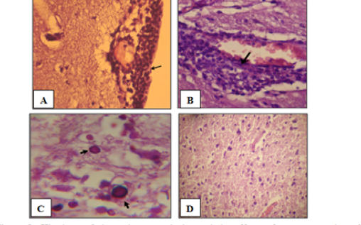
Histology of the male mouse brains and the effects of yeast suspension of Cryptococcus neoforman. Mice treated (T3) with dose of 1x 106 cell/animal. A) Brain, meningitis- Lymphocytes, Monocytes infiltration (H&E. staining, x400). B) Brain, lymphocytic perivascular cuffing (H&E. staining, x400). C) Brain, graymater vaculolation associated with C. neoformans infiltration (PAS ; x1000) D) Control (H&E. staining, x100)
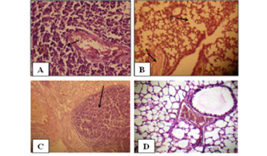
Histology of the male mouse lungs and the effects of yeast suspension of Cryptococcus neoforman. Mice treated (T3) with dose of 1x 10 cell/animal. A) Lung, perivascular lymphoid aggregation (H&E. staining, x400). B) Lung, (arrow A) congestion and (arrow B) emphysema (H&E. staining, x400). C) Lung, nodule of mixed inflammatory cells (H&E. staining, x100) D) Control (H&E. staining, x400)






