Advances in Animal and Veterinary Sciences
Research Article
Adv. Anim. Vet. Sci. 6(4): 148-155
Figure 1
Ultrasonographic image showing anechoic distended round structure representing the urinary bladder with tensed wall in buffalo calf with urine retention and had intact urinary bladder.
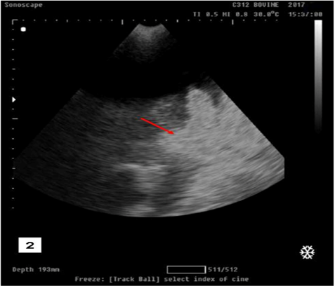
Figure 2
Ultrasonographic image showing free anechoic fluid in the abdominal cavity which representing urine from a ruptured bladder with the presence of hyperechoic floating substance (arrow) representing fibro gelatinous material results from the reaction of the urine with the peritoneal cavity in buffalo calf with urine retention and had ruptured urinary bladder.






