Advances in Animal and Veterinary Sciences
Research Article
Adv. Anim. Vet. Sci. 6(2): 70-74
Figure 1
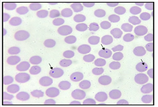
Erythrocytes infected with Anaplasma marginale (arrowed)
Erythrocytes infected with Anaplasma marginale (arrowed)