Advances in Animal and Veterinary Sciences
Ratio of body weight gain to feed intake (G/F ratiomean ± SD) for Holstein bull calves raised on experimental diets for 96 days (See Table 1 for composition)
Average daily gain (ADG)(mean ±SEM)of Holstein bull calves raised on experimental diets for 96 days (See Table 1 for composition.)
Differing lower-case lettersdenote intra-period significant difference (p<0.05)
Carcass yield (mean ±SEM) of Holstein bull calves raised on experimental diets for 96 days (See Table 1 for composition.)
Differing lower-case lettersdenote significant difference (p<0.05)
Daily average duration (mean ± SEM) of pH below 5.6(DpH5.6) in the rumen of Holstein bull calves raised on experimental diets for 96 days (See Table 1 for composition)
DpH5.6 was calculated from direct pH measurement logged every 5 min.
Differing lower-case lettersdenote significant difference within the same period (p<0.05).
Asterisk indicates significant difference between phases for each treatment(p<0.05)
Relationship between average daily gain and average time per day below pH 5.6 (DpH5.6) in the rumen of Holstein bull calvesraised on experimental diets (See Table 1 for composition) A: growing phasedays 68–84; B: finishing phase days 85–96; b1 denotesthe linear regression slope and does not deviate from 0 (p>0.05).
Lipoprotein binding protein (log10normalized mean ± SEM) in Holstein bull calves raised on different experimental diets. (See Table 1 and Materials and Methods for composition)
Differing letters denote significant difference (p<0.05). Treatment effects on day 68 were similar after Bonferroni adjustment.
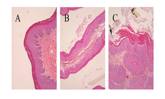
Photographic images of representative sections of the rumen atrium base in Holstein bull calves (A and B: normal epithelium and lamina propria in calves fed respectively N and BCD diets; C: arrow designates maize-diet-associated damage to epithelium).
Blood chemistry results for Holstein bull calves fed one of the five experimental diets for 96 days.












