Advances in Animal and Veterinary Sciences
Research Article
Adv. Anim. Vet. Sci. 5(2): 56-61
Figure 1
Induced hepatic wound in the caudate lobe of the liver
Figure 2
Post mortum examination
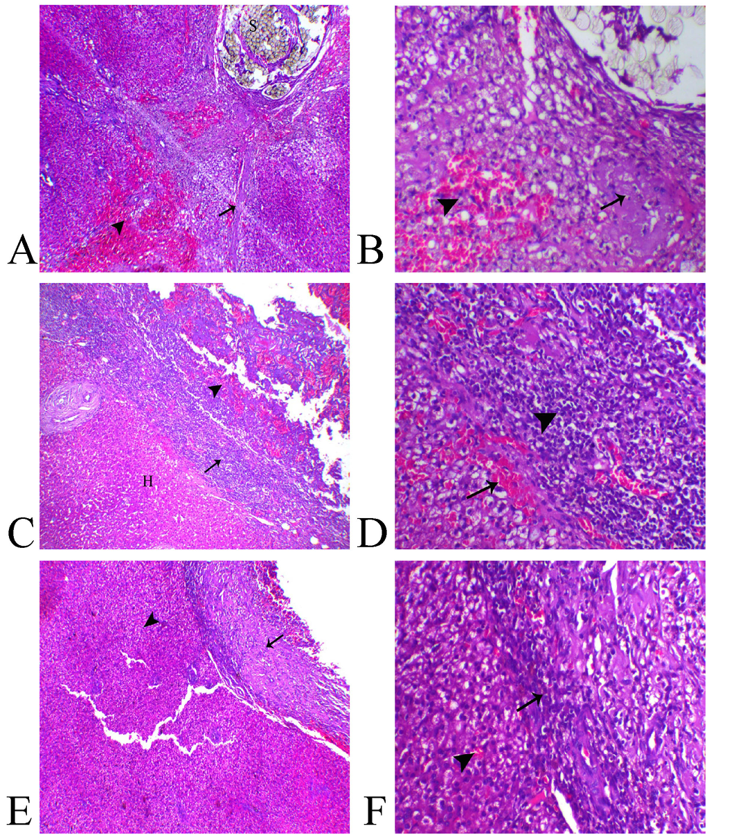
Figure 3
Photomicrograph of liver sections A, B from (Group A), C, D from (Group B) and E, F from (Group C).







