Advances in Animal and Veterinary Sciences
Research Article
Adv. Anim. Vet. Sci. 4(10): 506-512
Figure 1
Bannur sheep breed with submandibular oedema from LRIC farm Nagamangala, Karnataka
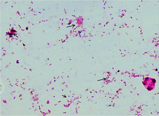
Figure 2
Microscopic view of acid fast bacilli (indistinguishable to MAP under oil immersion ×100)
Figure 3
MAP specific amplicons (413 bp) by PCR using IS900 specific primers. Lane M: 100 bp ladder; Lane 1: Positive control (MAP DNA); Lane 2 and 3: Negative control and no template control; Lane 4-7: DNA samples isolated from faeces and blood







