Advances in Animal and Veterinary Sciences
Short Communication
Adv. Anim. Vet. Sci. 4 (7): 363 - 369
Figure 1
Gross (A) and histopathogical (B) analysis of tumour tissue used for amplification of MnSOD gene
Figure 2
Amplification and cloning of full-length ORF of MnSOD gene
Figure 3
Deduced amino acid sequences of mitochondrial manganese superoxide dismutase from Canis lupus familiaris and Homo sapiens (Accession no: CAA42066.1); The amino acids highlighted by red circles indicate four putative manganese binding sites conserved among all eukaryotes
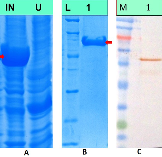
Figure 4
Expression, purification and characterization of recombinant MnSOD protein








