Advances in Animal and Veterinary Sciences
Broiler chickens infected with CAV showed pale liver (A-arrow); Atrophied thymus (B-arrow) sometimes resulting in an almost complete absence of thymic lobes (C-arrow), Enlarged spleen (D-arrow) and atrophied bursa of Fabricius (D-star)
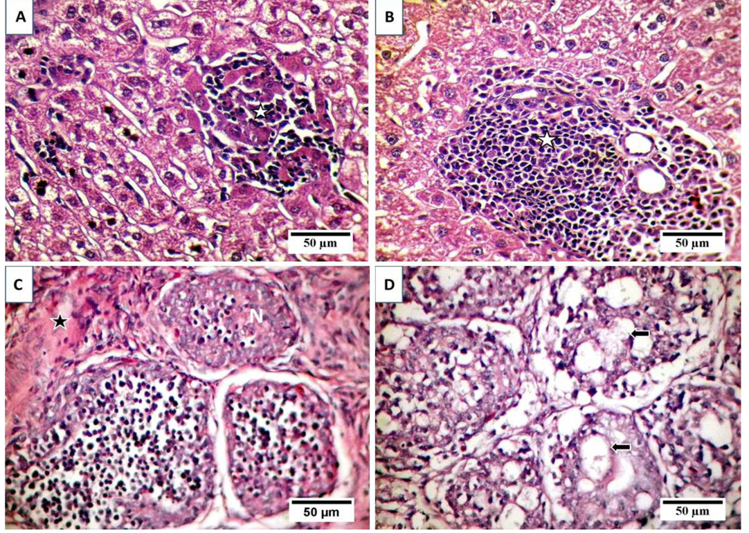
Effect of CIAV on liver (A and B) and bursa (C and D); stained with HE
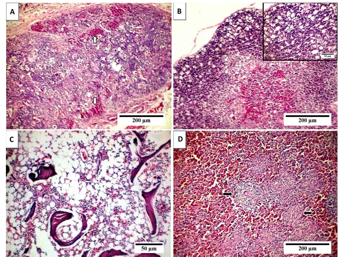
Effect of CIAV on thymus (A, B), bone marrow (C), and spleen (D), stained with HE
Terminal deoxynucleotidyl transferase-mediated dUTP nick end labeling
PCR products (418 bp) of amplified CAV-DNA extracted from tissues of diseased chicks
Phylogenetic tree for the 2 Egyptian CAV and other related CAV strains based on the partial VP1 gene sequence. The viruses used in this study were indicated by black dots










