Advances in Animal and Veterinary Sciences
Short Communication
Adv. Anim. Vet. Sci. 4 (4): 174 - 177
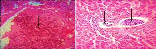
Figure 1
Photomicrograph of the avian liver showing severe congestion of the central vein (arrows) H&E x400 and x800
Figure 2
Photograph of avian liver showing areas of paleness and Hemorrhage (arrows)
Figure 3
Distribution of microbial isolates from livers of rural scavenger chicken in Maiduguri







