Advances in Animal and Veterinary Sciences
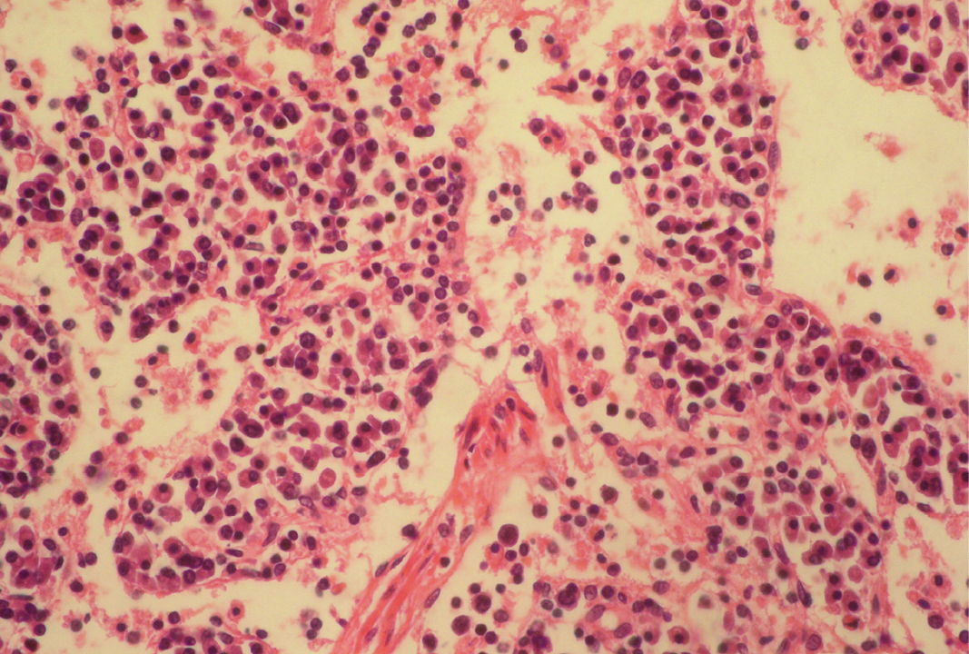
Infiltration of more plasma cells in medullary area
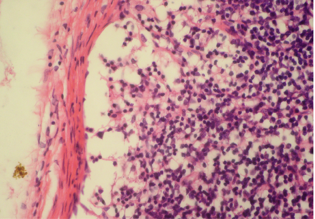
Fibrin threads are found throughout the medulla with lymphoid depletion; H&E x400
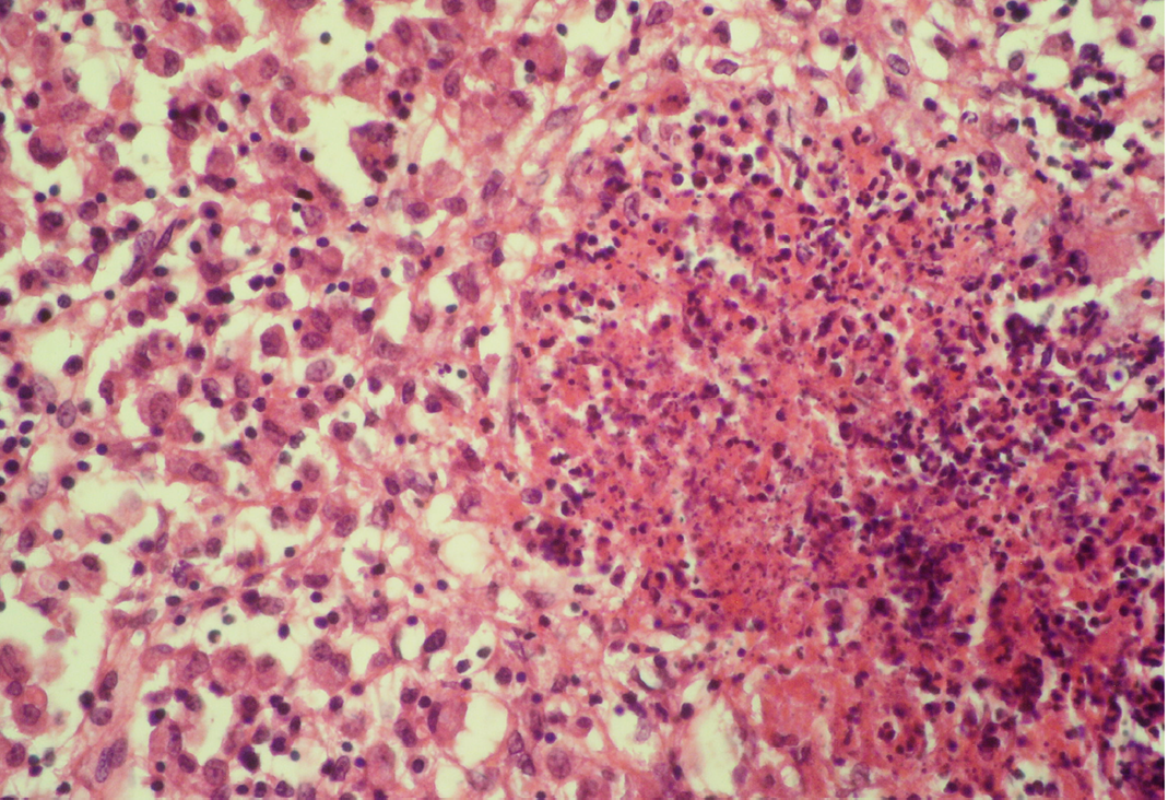
Necrosis of cortical area characterized by karyolysis and karyorrhexis
The area is surrounded by macrophages (histiocytes); H&E x400
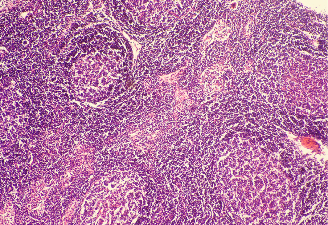
Reactive hyperplasia in mesenteric lymph node
In cortex, number of follicles is increased and also showing increased number of lymphocytes; H&E x100
Depletion of follicles in the cortex and medulla
Sheet of inflammatory cells are present over homogenous meshwork of fibrin strands; H&E x100
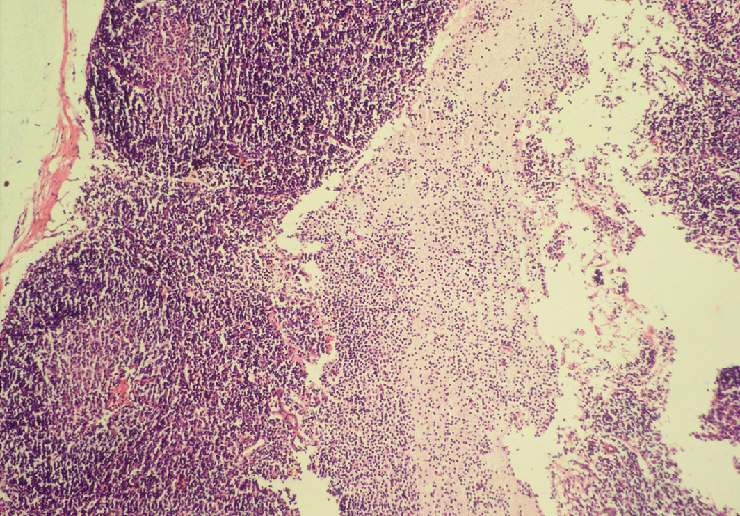
Depletion of follicles in cortex
Thinning of cortex and widened subcapsular space, fibrin threads are also visible; H&E x400









