Advances in Animal and Veterinary Sciences
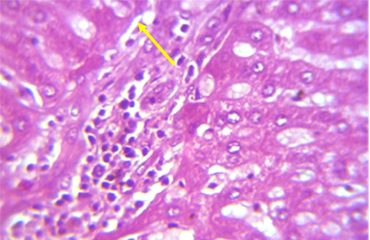
Section in the liver of rabbit treated with 100 ppm (NaF) for 60 days, showed mononuclear cell aggregation of blood vessels and bile duct in portal area (shown with yellow arrow) (H and E 40X)
Section in the liver of rabbit treated with 100 ppm NaF for 60 days, showed granulomatus lesion consist of aggregated macrophages (shown with yellow arrow) and congestion of central vein and sinusoid (shown with black arrow) (H and E 40X)
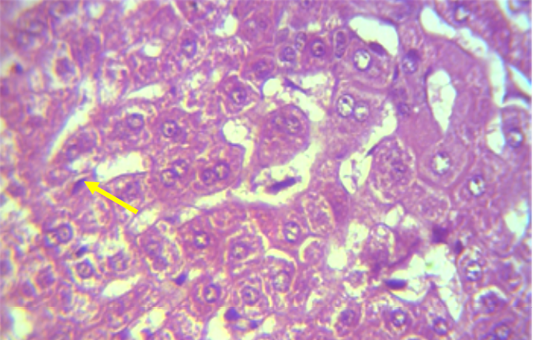
Section in the liver of NaF treated rabbit received grape seed oil (0.35 mlKg Bw) for 60 days, showed Kupffer cell proliferation (shown with yellow arrow) (H and E 40X)







