Advances in Animal and Veterinary Sciences
Research Article
Adv. Anim. Vet. Sci. 3 (4): 245 - 252
Figure 1
Measurement of phenotypic traits of Hyline chicken
Figure 2
Sex reversed female bird
Figure 3
Spur in sex reversed chicken
Figure 4
Atrophied ovary in sex reversed bird
Figure 5
Normal ovary with follicle in normal layer chicken
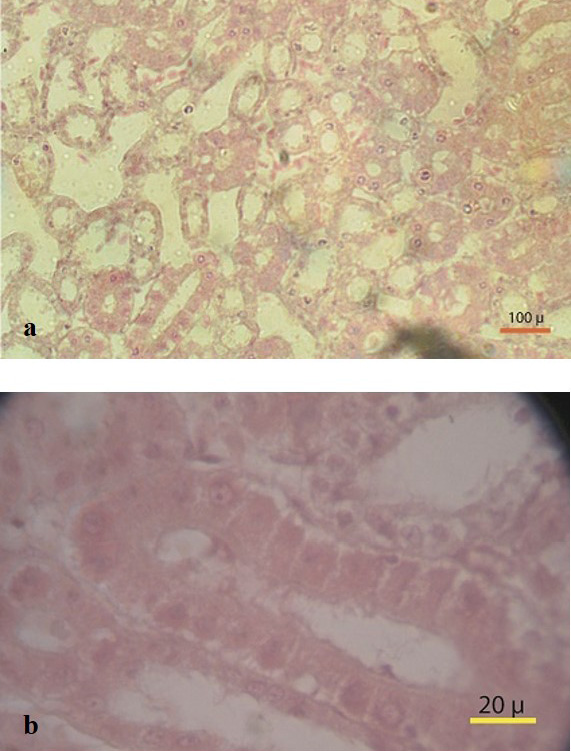
Figure 6
(a) Massive seminiferous tubule like structure in ovary section (10x) (b) Seminiferous tubule like structure with connective tissues (100x)
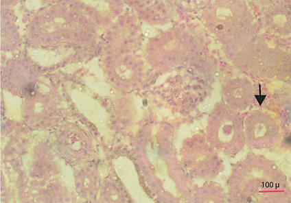
Figure 7
Section showing ovarian follicles and seminiferous tubule like structure with leydig cells (Thick arrow) (40x)











