Advances in Animal and Veterinary Sciences
Geographical distribution of (EMS/AHPND) in the world
Gross signs of Penaeus vannamei affected by AHPNS (Left) compared to normal shrimp (right)
Source: D Lightner &/T. Flegel (1)
Pale atrophied hepatopancreas of juvenile Penaeus monodon from Vietnam with AHPNS
Source: D. Lightner (1)
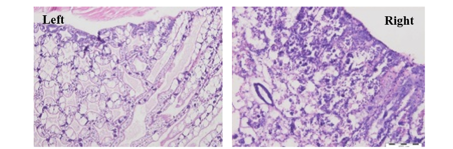
Key diagnostic feature of AHPNS-affected hepatopancreas (HP) with medial sloughing of HP cells (right photo), compared with normal HP (left photo) with intact tubules and distinct F, B and R cells
Source: T. Flegel (4)
Atrophied hepatopancrease indicative of AHPNS
Source: D. Lightner (4)









