Advances in Animal and Veterinary Sciences
Research Article
Adv. Anim. Vet. Sci. 3 (2): 136 - 142
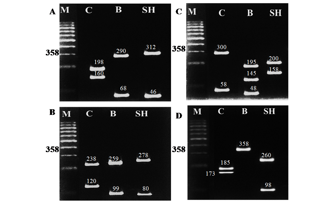
Figure 1
Agarose gel electrophoresis of PCR amplified products (358 bp) of the cytochrome b gene from blood samples of camel (C), buffalo (B) and sheep (SH)
Figure 2
RFLP banding pattern of the cyt b gene PCR amplified products after digestion with different restriction endonucleases. A: AluI, B: HaeIII, C: Hinf I, D: Taq I






