Advances in Animal and Veterinary Sciences
Research Article
Adv. Anim. Vet. Sci. 10(1): 94-106
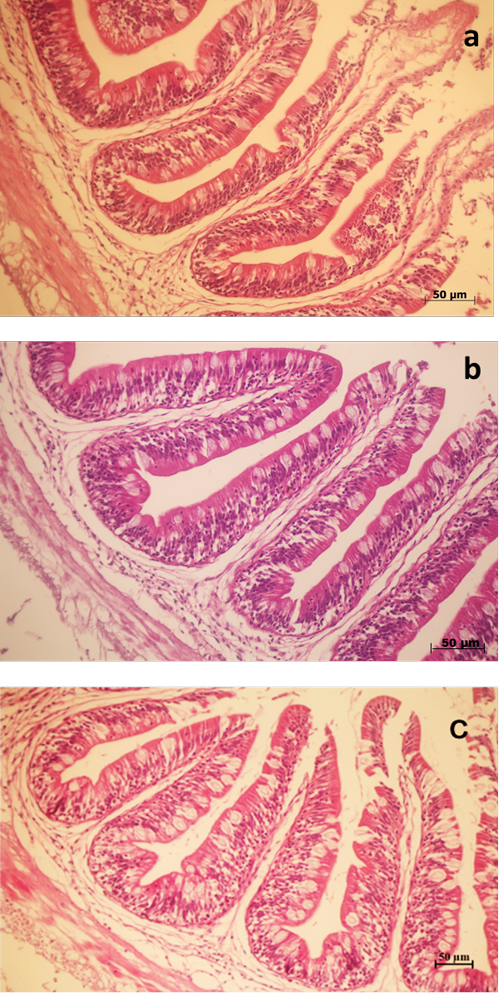
Figure 1
Stained intestinal tissue section (H&E) of Nile tilapia fed three different level of sacha inchi seed in diets for 10 weeks. (a) intestinal tissue of Nile tilapia fed SIS0 diet (b) intestinal tissue of Nile tilapia fed SIS29 diet (c) intestinal tissue of Nile tilapia fed SIS54 diet.
Figure 2
Relative expression of TNF-α, IL-1β, and TGF-β of Nile tilapia fed experimental diets for 10 weeks.






