Advances in Animal and Veterinary Sciences
Phylogenetic analysis of H9 and N2 genes nucleotide sequences of AIV (S2andS6) isolates from Sharkia Province, Egypt and other sequences available in GenBank. (A) The tree was constructed via multiple alignments of 1465 bp nucleotide sequence of HA gene. (B) The tree was constructed via multiple alignments of 1265 bp of NA gene, using the neighbor-joining method and the Kimura-2-parameter models in MEGA7. Strain A/Turkey/Wisconsin/1966 was used as the root of the tree at 1000 bootstrap replicates. Isolates in this study are marked with solid circle. Vaccine seeds are marked triangle.
Geometric mean log2 of HI titers in experimental SPF chickens using two antigens, G1: vaccine 1 non challenged, G2: vaccine 2 non challenged, G3: vaccine 1 challenged, G4: vaccine 2 challenged, G5: challenged non vaccinated (Pos control), G6: non treated (Neg control). (A) HI test results using imported antigen: representing vaccine 2 seed virus from day 1 to day 28 before challenge, (B) HI test results using local antigen: Local antigen similar to vaccine 1 seed virus from day 1 to day 28 before challenge, (C) HI test results using imported antigen: representing vaccine 2 seed virus day 35 (1st week post challenge) and day 42 (2nd week post challenge), (D)HI test results using local antigen: Local antigen similar to vaccine 1 seed virus day 35 (1st week post challenge) and day 42 (2nd week post challenge).
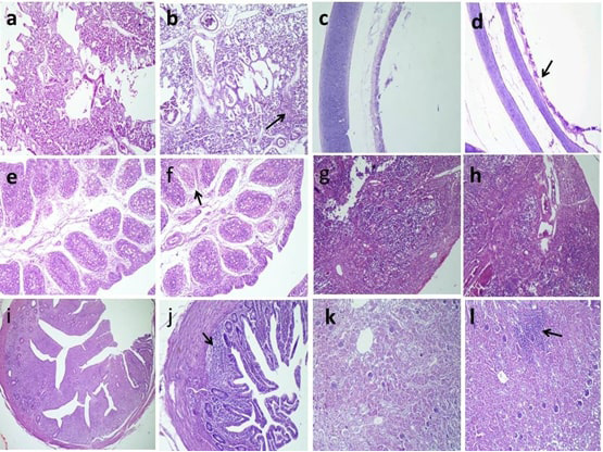
Histopathologic findings of chickens 5 days after challenge with AIV H9N2. a, Normal pulmonary tissues in G6; b, Interstitial pneumonia (arrow) in G5; c,Normal tracheal tissues in G6; d, Mild desquamated tracheal epithelium (arrow) in G5; e, Normal lymphoid follicles in G6; f, Necrotic some lymphoid follicles (arrow) in G5; g, Normal cortical and medullary lymphoid population in G6; h, congested blood vessels with thickening of septae in G5; i, normal lymphoid aggregations in G6; j, partial depletion (arrow) in G5; k, normal renal glomerular and tubular structure in G6; l, interstitial inflammatory cells infiltrations (arrow) in G5 H and E stain.







