Advances in Animal and Veterinary Sciences
Effect of sage oil on ECG records in isoprenaline-induced CHF in rats (prophylactic).
Effect of sage oil on ECG parameters in isoprenaline- induced CHF in rats. Data was expressed as mean ± SE, n= 5, a, b, c, d or e significantly different from the control, sage oil 50mg, sage oil 100mg, ISO group or sage oil 50 + ISO at (P<0.05).
Effect of sage oil on ECG records in isoprenaline-induced CHF in rats (curative)
Effect of sage oil on ECG parameters in isoprenaline-induced CHF in rats (curative). Data was expressed as mean ± SE, n= 5. a,b,c,d or e significantly different from the control, sage oil 50mg, ISO group, ISO+sage oil 50, ISO+Digotoxin 1 mg, ISO+ (sage oil 50+Digotoxin 0.5) at (P<0.0).
Effect of sage oil on cardiac oxidative stress and antioxidant markers in isoprenaline-induced CHF in rats (prophylactic). Data was expressed as mean ± SE, n= 5. a, b, c, d, e or f: Significantly different from the control, sage oil 50mg, sage oil 100mg, ISO (CHF), prophylactic sage oil 50mg+ ISO or prophylactic sage oil 100mg+ ISO respectively at (P<0.05).
Effect of sage oil on cardiac oxidative stress and antioxidant markers in isoprenaline-induced CHF in rats (curative). Data was expressed as mean ± SE, n= 5, a, b, c, d or e significantly different from the control, sage oil 50mg, ISO group, ISO+ sage oil 50, ISO+ Digotoxin 1 mg, ISO+ (sage oil 50+Digotoxin 0.5) at (P<0.05).
Effect of sage oil on serum inflammatory marker (TNF-α) level in isoprenaline- induced CHF in rats. A) prophylactic, B) curative.
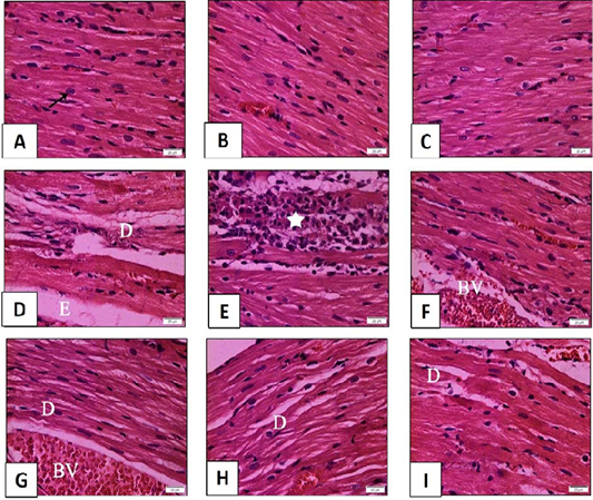
Histopathological examination of transverse sections of HandE stained heart in isoprenaline-induced CHF in rats (x400) (prophylactic).
A: Normal rats showing normal histological architecture. The muscle fibers appear as branched fibers with central oval nuclei (arrow). B and C: Myocardial section of rats received sage oil (50mg and 100 mg/kg/day/p.o alone) illustrating normal histological structure. D, E, F: Myocardial section of CHF rats received isoprenaline (85mg/kg/day sc for 2 consecutive days and kept for 2 weeks for induction of heart failure) showing myocardial degeneration and necrosis (D) with interstitial edema (E). Inflammatory cell infiltration (star) and dilated blood vessel (BV) can be seen. G,H,I: Myocardial section of rats received sage oil (50mg, 100mg/kg/day/p.o) or digoxin (1mg/kg/day/p.o) 1 week before isoprenaline and continued for 2 weeks still revealed myocardial alterations [myocardial degeneration (D) and dilated blood vessels (BV)].
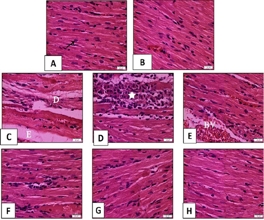
Histopathological examination of transverse sections of H and E stained heart in isoprenaline-induced CHF in rats (x400) (curative).
A: Normal rats showing normal histological architecture. The muscle fibers appear as branched fibers with central oval nuclei (arrow). B: Myocardial section of rats received sage oil (50mg/kg/day/p.o alone) illustrating normal histological structure. C, D, E: Myocardial section of CHF rats received Isoprenaline (85mg/kg/day sc for 2 consecutive days and kept for 2 weeks for induction of heart failure) showing myocardial degeneration and necrosis (D) with interstitial edema (E). Inflammatory cell infiltration (star) and dilated blood vessel (BV) can be seen in F,G: Myocardial section of CHF rats treated with sage oil (50mg/kg/day/p.o) and digoxin (1mg/kg/day/p.o) separately for 2 weeks after induction of heart failure respectively showing partial improvement. H: Myocardial section of CHF rats treated with combination of sage oil and digoxin at a dose of (50 and 0.5) mg/kg /day/p.o respectively for 2 weeks respectively after induction of heart failure demonstrating almost preserved the normal myocardial architecture.
Histopathological examination of transverse sections of caspase 3 immuno- stained heart in isoprenaline-induced CHF in rats (x400) (prophylactic).
A: Control group illustrating minimal positive brown cytoplasmic immunoreaction in muscle fibers. B, C: Myocardial section of rats received sage oil (50mg or 100 mg/kg/day/p.o alone) showing positive caspase 3 immunoreaction which is almost comparable to control. D: Myocardial section of CHF rats received isoprenaline (85mg/kg/day sc for 2 consecutive days and kept for 2 weeks for induction of heart failure) showing strong extensive positive immunoreaction. E, F, and G: Myocardial section of rats received sage oil (50mg, 100mg/kg/day/p.o) or digoxin (1mg/kg/day/p.o) 1 week before isoprenaline and continued for 2 weeks respectively illustrating moderate positive cytoplasmic immunoreaction for caspase 3.
Histopathological examination of transverse sections of caspase 3 immuno- stained heart in isoprenaline-induced CHF in rats (x400) (curative).
A: Control group illustrating minimal positive cytoplasmic immunoreaction in muscle fibers. B: Myocardial section of rats received (sage oil 50mg/kg/day/p.o alone) showing positive caspase 3 immunoreaction which is almost comparable to control. C: Myocardial section of CHF rats received isoprenaline (85mg/kg/day sc for 2 consecutive days and kept for 2 weeks for induction of heart failure) showing strong extensive positive immunoreaction. D, E: Myocardial section of CHF rats treated with sage oil (50mg/kg/day/p.o) and digoxin (1mg/kg/day/p.o) separately showing decreased intensity of immunoreaction. F: Myocardial section of CHF rats treated with combination of sage oil and digoxin at dose of (50 and 0.5) mg/kg /day/p.o respectively for 2 weeks after induction of heart failure respectively demonstrating positive immunoreaction that is nearly similar to that of control group.
Histopathological examination of transverse sections of Masson trichrome stained heart in isoprenaline-induced CHF in rats (x400) (prophylactic).A: Control group illustrating few collagen fibers in-between the muscle fibers. B,C: Treatment with sage oil (50 or 100) mg/kg/day/p.o) alone showing minimal collagen fibers.D: CHF group received isoprenaline (85mg/kg/day/sc for 2 consecutive days and kept for 2 weeks for induction of heart failure demonstrating widespread of collagen fibers.E,F,G: Myocardial sections of rats received sage oil (50mg, 100mg/kg/day/p.o) or digoxin (1mg/kg/day/p.o) 1 week before isoprenaline and continued for 2 weeks respectively illustrating moderate amount of collagen fibers.
Histopathological examination of transverse sections of Masson trichrome stained heart in isoprenaline-induced CHF in rats (x400) (curative). A: Control group illustrating few collagen fibers in-between the muscle fibers. B: Treatment with (sage oil 50 mg/kg /day/p.o) alone showing minimal collagen fibers. C: CHF group received isoprenaline (85mg/kg/day/sc for 2 consecutive days and kept for 2 weeks for induction of heart failure demonstrating widespread of collagen fibers. D, E: CHF rats treated with sage oil (50mg/kg/day/p.o) and digoxin (1mg/kg/day/p.o) for 2 weeks after induction of heart failure to CHF rats separately showing partially attenuated myocardial fibrosis. F: Myocardial section of CHF rats treated with combination of sage oil and digoxin at dose of (50 and 0.5) mg/kg /day/p.o respectively for 2 weeks after induction of heart failure respectively demonstrating greatly alleviated myocardial fibrosis.
Quantification of the effect of sage oil on cardiac collagen fibers stained with Masson trichrome in isoprenaline-induced CHF in rats. A) prophylactic B) curative, 10 x fields were averaged across 10 fields for each rat section. Data was expressed as mean ± SE, n= 5, a, b, c, d, e or f: Significantly different from the control, sage oil 50mg, sage oil 100mg, ISO (CHF), prophylactic sage oil 50mg+ ISO or prophylactic sage oil 100mg+ ISO respectively at (P<0.05).
Quantification of the effect of sage oil on cardiac caspase 3 immunoreaction in isoprenaline-induced CHF in rats; A) prophylactic; B) curative.
Quantification of caspase 3 staining represent the number of stained cells per 10x field was averaged across 10 fields for each rat section. Data was expressed as mean ± SE, n= 5, a, b, c, d, e or f: Significantly different from the control, sage oil 50mg, sage oil 100mg, ISO (CHF), prophylactic sage oil 50mg+ ISO or prophylactic sage oil 100mg+ ISO respectively at (P<0.05).




















