Advances in Animal and Veterinary Sciences
PCR amplification of the toxR gene (V. parahaemolyticus) and collagenase gene (V. alginolyticus) on agarose gel 1.5%. Lane L: 100-1000 bp. DNA Ladder. Neg.: Negative control (Enterobacteriaceae strain). Pos.: Positive control (local strain obtained from Central Lab. for quality control of poultry production, El-Giza, Egypt (CLQP)) (at 368 bp for toxR gene and 737bp for collagenase gene). Lanes 1-5: V. parahaemolyticus (toxR gene) positive and Lanes 1-5: V. alginolyticus (collagenase gene) negative.
PCR amplification of recA and trh genes of V. parahaemolyticus on agarose gel 1.5%. Lane L: 100-1000 bp. DNA Ladder, Neg.: Negative control (Enterobacteriaceae strain), Pos.: Positive control (local strain obtained from CLQP) (at 793 bp for recA gene and 449 bp for trh gene), Lanes 1, 3 and 5: V. parahaemolyticus (recA gene) positive, Lane 2 and 4: V. parahaemolyticus (recA gene) negative, and Lanes 1-5: V. parahaemolyticus (trh gene) negative
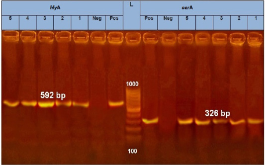
PCR amplification of Aerolysin (aerA) gene and hemolysin (hlyA) on agarose gel 1.5%. Lane L: 100-1000 bp. DNA Ladder, Neg.: Negative control (Enterobacteriaceae strain), Pos.: Positive control (local strain obtained from CLQP) (at 326 bp for aerA gene and 592 for hlyA gene), Lanes 1-5: A. hydrophila (aerA gene) positive and Lanes 1-5: A. hydrophila (hlyA gene) positive.
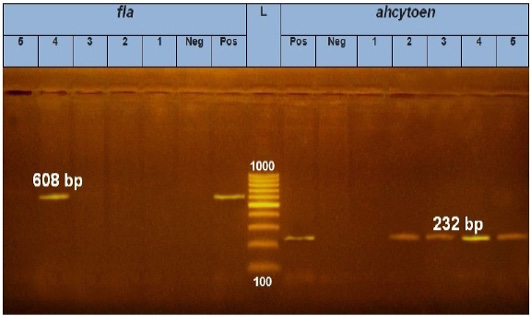
PCR amplification of fla and ahcytoen genes on agarose gel 1 %. Lane L: 100-1000 bp. DNA Ladder. Neg.: Negative control (Enterobacteriaceae strain), Pos.: Positive control (local strain obtained from CLQP) (at 608bp for fla gene and 232bp for ahcytoen gene, Lane 4: A. hydrophila (fla gene) (Positive), Lanes 1, 2, 3and 5: A .hydrophila (fla gene) (Negative), Lanes 2, 3, 4 and5: A. hydrophila (ahcytoen gene) (Positive) and Lane 1: A. hydrophila (ahcytoen gene) (Negative).








