Advances in Animal and Veterinary Sciences
Metaphase plate mouse bone marrow cells: A: Single fragment (×1000); B: Gap (×1000); C: Paired fragments (×800); D: Exchanges (×800).
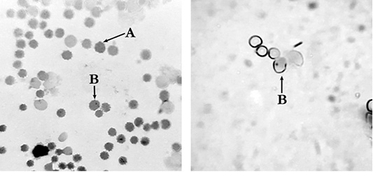
Polychromatophilic erythrocytes of mouse peripheral blood: A: polychromatic erythrocyte (PCE); B:– micronucleated polychromatic erythrocytes (MNPCE); magnification ×800.
MNPCE frequency in mouse blood: I: negative control group (vaseline oil); II: positive control group (Cyclophosphamidum 20 mg/kg); III: experimental group (study drug 80 mg/kg). At the y-axis (MNPCE) - the frequency of polychromatophilic erythrocytes of the peripheral blood with micronuclei, ‰ - ppm. At the x-axis (Day after injection) - the number of days after the start of drug administration, days; 0 - the day of the first administration of the drug, blood samples were obtained before injection. *, statistically significant difference relative to the negative control group at P<0.05.







