Advances in Animal and Veterinary Sciences
Quantitative assay of the Phytochemical constituents of PTR powder and extract.
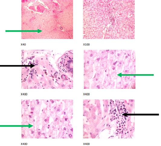
Liver plates in rabbits on 0 mg/L PTRSE in drinking water. Liver plates show mild to moderate disseminated microvesicular steatosis (green arrows), congestion (blue arrows), mild periportal infiltration by inflammatory cells (black arrows) and mild infiltration of zone 2 by inflammatory cells (dotted arrow).
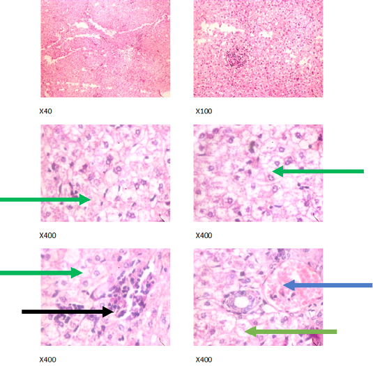
Liver plates in rabbits on 500 mg/L PTRSE in drinking water. Liver plates show marked to severe disseminated microvesicular steatosis (green arrows), mild periportal steatosis (black arrows) and focal congestion (blue arrows).
Liver plates in rabbits on 750 mg/L PTRSE in drinking water. Liver plates shows moderate to marked disseminated microvesicular steatosis (green arrows) and focal area of periportal infiltration by inflammatory cells (black arrows).
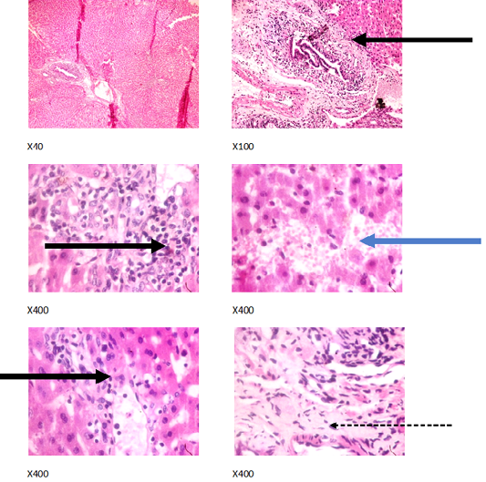
Liver plates in rabbits on1250 mg/L PTRSE in drinking. Liver plates show periportal infiltration by inflammatory cells (black arrows), portal fibrosis (dotted arrow) and focal area of hemorrhagic lesion (blue arrows).









