TamuBetMPOATMTransisi Audio Dan Putaran Wild BountyPola Baru di Mahjong Ways Bawa PerubahanRTP PG Soft Lebih Unggul Dari Pragmatic

Advances in Animal and Veterinary Sciences

Research Article
Adv. Anim. Vet. Sci. 9(10): 1504-1510
 
Figure 1

Clinical Signs of Dog Infected with Canine Leishmaniosis Reveals Several Skin Ecchymosis in Ventral Abdomen, Tail and Hind Legs with Lymphadenopathy.  

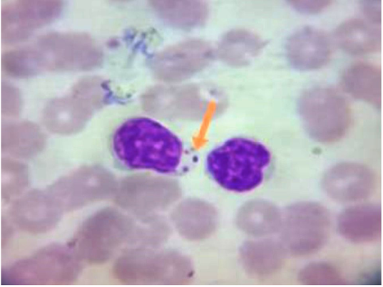
Figure 2

Blood Smear From Infected Dogs With Canine Leishmaniosis Stained with Giemsa Reveals Presence of Amastigote form of Leishmania Spp. Inside the Macrophage (Showed by Arrow).  

Eq1