Advances in Animal and Veterinary Sciences
The worm count recovered from the intestines of control and experimental mice 7 days pi. The results are represented by the means±SE and Alb refers to Albendazole. All experimental groups are compared to Albendazole treated infected mic. ****P<0.0001; NS No significance.
The larvae count recovered from control and experimental mice’s muscles on day 35 pi. The results are represented by the means±SE and Alb refers to Albendazole. All experimental groups are compared to Alb treated infected mic. ****P<0.0001; ***p<0.001; p<0.01; NS No significance.
Liver and kidney proteins levels in the various treated groups on day 35 pi. The results are represented by the means±SE and Alb refers to Albendazole.
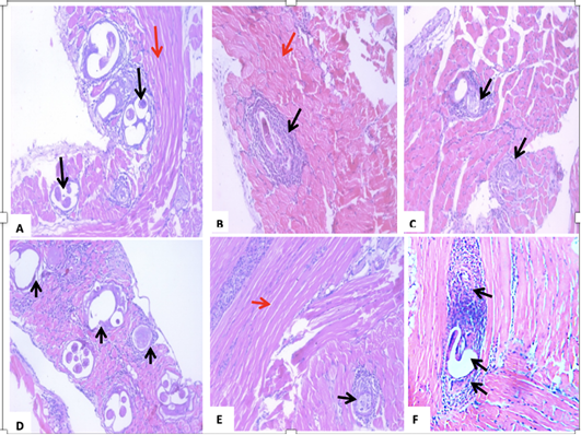
A section of skeletal muscle (red arrow) of a T. spiralis-infected mouse on the 35th-day pi (A) encysted larvae surrounded by intense inflammatory cellular infiltrate, which are indicated by black arrows. (B) treatment with Albendazole, showing Trichinella spiralis encysted larvae surrounded by intact capsules and severe inflammatory cellular infiltrate of mononuclear cells, mainly lymphocytes, and macrophages (black arrows). (C) treatment with Myrrh, showing a reduction in the number of larvae with degeneration of the larvae surrounded by mild inflammatory (black arrows). (D) treatment with Garden cress showing fragmentation and vacuolation of the larva with an invasion by inflammatory cells, mainly lymphocytes, and macrophages. Black arrows indicate vacuolated capsules. (E) combined Albendazole and Myrrh’s treatment showing a reduction in the number and a degeneration of the larvae, which were surrounded by mild inflammation (black arrows). (F) combined Albendazole and Garden cress treatment showing vacuolation of the nymph with intense invasion by the inflammatory cells consisting mainly of lymphocytes and macrophages (black arrows).








