Advances in Animal and Veterinary Sciences
Research Article
Adv. Anim. Vet. Sci. 9(8): 1275-1282
Figure
Expermintal design
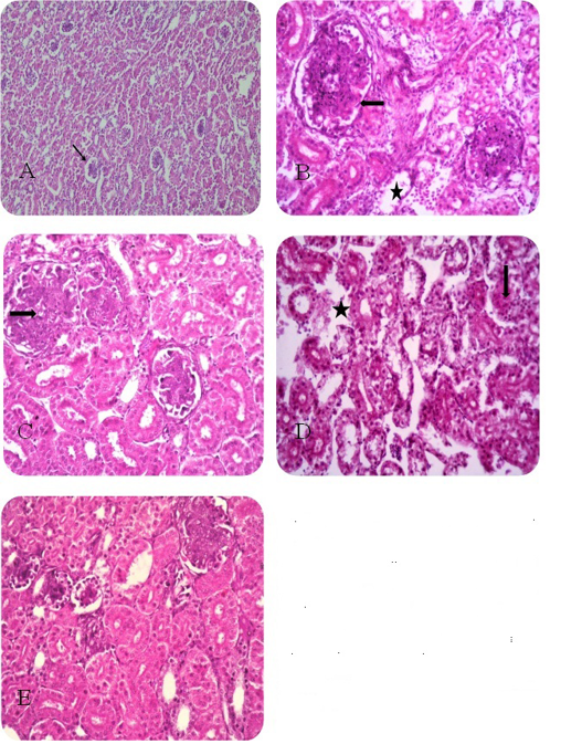
Figure 1
Renal histopathologicail finding of sacrified chicks A) Control negative group. B) Florfenicol treated group C) Florfenicol with tocotrienol treated group D) Florfenicol with selenium yeast treated group E) Florfenicol with tocotrienol and selenium yeast treated group.






