Advances in Animal and Veterinary Sciences
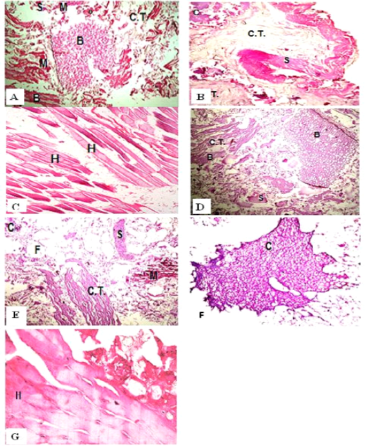
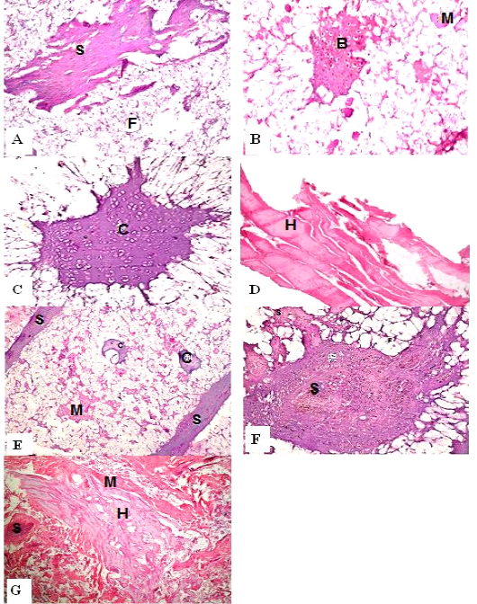
H&E sections of luncheon sausages; A: D (premium luncheon); E: G (economic luncheon); M, muscle; F, fat; H, heart; B, bone; S, skin; C, cartilage
H&E sections of luncheon sausages; A: D (premium luncheon); E: G (economic luncheon); M, muscle; F, fat; H, heart; B, bone; S, skin; C, cartilage
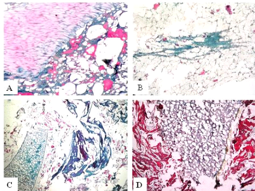
Trichrome sections of luncheon sausages and burger patties; A (premium luncheon); B (economic luncheon); C (premium burger patties); D (economic burger patties); muscle stained red; connective tissue stained green
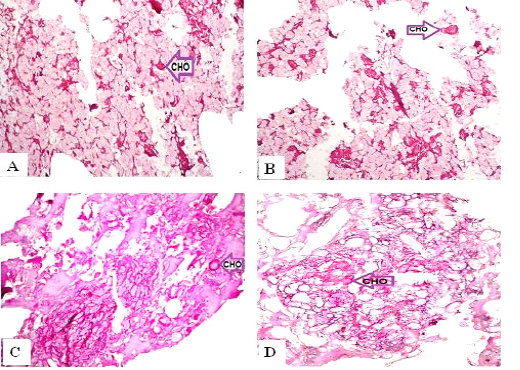
Periodic Acid-Schiff sections of luncheon sausages and burger patties; A (premium luncheon); B (economic luncheon); C (premium burger patties); D (economic burger patties); CHO, carbohydrates








