TamuBetMPOATMTransisi Audio Dan Putaran Wild BountyPola Baru di Mahjong Ways Bawa PerubahanRTP PG Soft Lebih Unggul Dari Pragmatic

Advances in Animal and Veterinary Sciences

Research Article
Adv. Anim. Vet. Sci. 9(7): 1087-1094
 
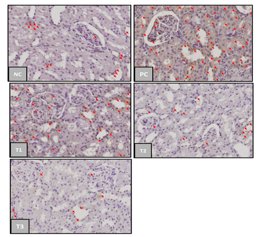
Figure 1

TNF-α-expression in kidney of acute kidney injury (AKI). Negative control group (NC); Positive Control Group (PC); blueberries extract on therapy group with dosage of 500 mg/kg (T1); dosage 1000 mg/kg (T2); dosage 1500 mg/kg (T3); the red arrow indicated TNF–α expression. (immunochemistry staining, magnification 400x). 

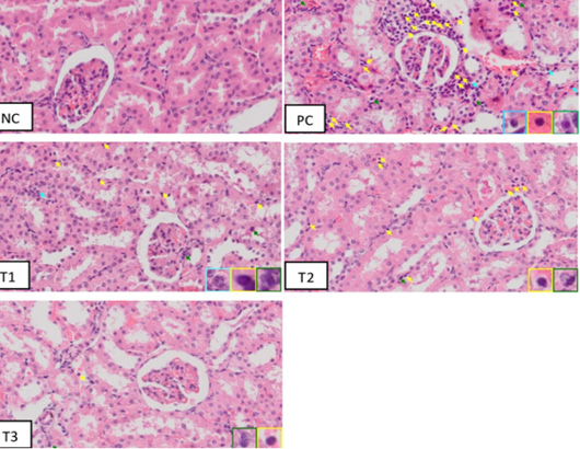
Figure 2

Inflammatory cells on histopathology of Acute Kidney Injury, Negative Control Group (NC) Positive Control Group (PC); Blueberries extract therapy group dosage 500 mg/kg (T1); dosage 1000 mg/kg (T2); dosage 1500 mg/kg (T3). Note: light blue arrow indicated neutrophils inflammatory cells, green arrow indicated macrophage inflammatory cells, and yellow arrow indicated lymphocyte inflammatory cells. (HE staining; magnification 400x)