Advances in Animal and Veterinary Sciences
Mean motility dan mortality time of Paramphistomum cervi. C0= negative control (PBS); C1= positive control (albendazole); T1= 5% of Nigella sativa extract; T2= 10% of Nigella sativa extract; T3= 25% of Nigella sativa extract; T4= 40% of Nigella sativa extract.
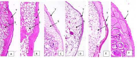
Tegument of Paramphistomum cervi after treatment. A: 5% extract; B: 10% extract; C: 25% extract; D: 40% extract of Nigella sativa. E. Positive control (albendazole) F. Negative control (PBS). T: tegument; S: swelling of tegument
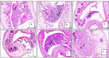
Reproductive organs of Paramphistomum cervi after treatment. A. 5% extract B. 10% extract. C. 25% extract. D. 40% extract. E. Negative control. F. Positive control. Ts: testes.
Cell lysis and lipid degeneration of Paramphistomum cervi after treatment. A. 5% extract B. 10% extract. C. 25% extract. D. 40% extract. E. Negative control. CL: cell lysis. LD: lipid degeneration.








