Advances in Animal and Veterinary Sciences
Research Article
Adv. Anim. Vet. Sci. 9(6): 787-791
Figure 1
Score of proliferation of white pulp from the chicken’s spleen on day 10.
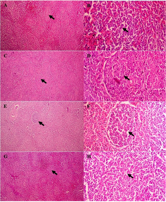
Figure 2
Spleen histopathology of broiler chicken treated with curcumin. White pulp of group I with minimal proliferation of lymphocytes (A and B); mild proliferation of lymphocytes within white pulp of group II (C and D); moderate proliferation in group III (E and F); high proliferation in group IV (G and H). H&E, A, C, E, F (100×); B, D, G, H (400×).






