Advances in Animal and Veterinary Sciences
Body weight of chickens following inoculation with live attenuated Fowl adenovirus (FAdV) isolate (UPM1137CEL35) from days 0 to 21 days post-inoculation (pi) in groups A (oral route), B (intraperitoneal route) and C (control) throughout the trial. There are significantly lower (p<0.05) in body weight of chickens in groups A and B at days 7 and 14pi compared to group C. At day 21pi, the body weight of chickens in group B are significantly higher (p<0.05)* than group C. Bar indicated as standard deviation.
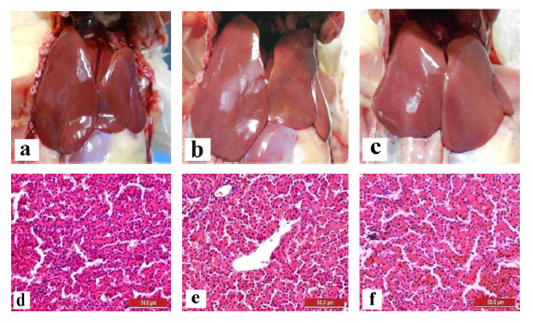
Normal gross and histological findings of liver in all groups of chickens with smooth, glistening surface and normal architecture of hepatocytes lining by sinusoid, respectively, following inoculation with live attenuated UPM1137CEL35 Fowl adenovirus isolate at day 14 post-inoculation (pi). Gross findings indicated from (a) to (c) and histological findings from (d) to (f). (a): Group A inoculated via oral route, (b): Group B inoculated via intraperitoneal (IP) route, (c): Group C: Control, (d): Group A inoculated via oral route, (e): Group B inoculated via IP route, (f): Group C: Control. HE, 40X. Bar = 50µm
Normal gross and histological findings of liver in all groups of chickens with smooth, glistening surface and normal architecture of hepatocytes lining by sinusoid, respectively, following inoculation with live attenuated UPM1137CEL35 Fowl adenovirus isolate at day 21 post-inoculation (pi). Gross findings indicated from (a) to (c) and histological findings from (d) to (f). (a): Group A inoculated via oral route, (b): Group B inoculated via intraperitoneal (IP) route, (c): Group C: Control, (d): Group A inoculated via oral route, (e): Group B inoculated via IP route, (f): Group C: Control. HE, 40X. Bar = 50µm.
Normal gross finding of gizzard in all groups of chickens with intact koilin layer following inoculation with live attenuated UPM1137CEL35 Fowl adenovirus isolate at day 3 post-inoculation (pi) from (a) to (c) and day 21pi (d) to (f). (a): Group A inoculated via oral route at day 3pi, (b): Group B inoculated via intraperitoneal (IP) route, (c): Group C: Control at day 3pi, (d): Group A inoculated via oral route at day 21pi, (e): Group B inoculated via intraperitoneal (IP) route at day 21pi, (f): Group C: Control at day 21pi.
Fowl adenovirus (FAdV) antibody response in commercial broiler chickens following inoculation with live attenuated UPM1137CEL35 FAdV isolate in groups A (oral route), B (intraperitoneal route) and C (Control) from day 0 to 21pi. The antibody titre was significantly higher (p<0.05)* in group B than groups A and C at day 21 pi. Bar indicated as standard deviation.









