Advances in Animal and Veterinary Sciences
Electrophoretic profile of crude antigen of H. contortus adult worm (Lane A) and glycoproteins fractions; GlucNAc (Lane B), Gal (Lane C), Gluc (Lane D) and Lac (Lane E). Molecular weight protein standard (Lane St).
Immunogenic bands of H. contortus antigens identified by specific naturally infected sheep sera by Western Blot assay. Crude H. contortus antigen (Lane A), GlucNAc (Lane B), Gal (Lane C), Gluc (Lane D) and Lac (Lane E). Pre stained molecular weight Marker (Lane MW.).
Diagnostic profile of four fractions compared to crude antigen in natural sheep haemonchosis. The difference is significant p ≤ 0.05.
Specificity, sensitivity and predictive values of Gluc fraction by indirect ELISA.
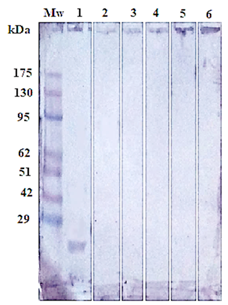
Immunoblotting of isolated Gluc fraction treated with; positive serum with haemonchosis (lane1), (strongyloidiasis (Lane 2), fasciolosis (Lane 3), toxoplasmosis (Lane 4), coccidiosis (Lane 5) and negative control (Lane 6). Pre stained molecular weight Marker (Lane Mw).
Diagnostic potency of Gluc fraction in randomly collected sheep sera.










