Advances in Animal and Veterinary Sciences
Research Article
Adv. Anim. Vet. Sci. 9(2): 274-279
Figure 1
PCR results of the kidneys using LipL32 forward and reverse primers. M: marker; K +: positive control; K-: negative control.
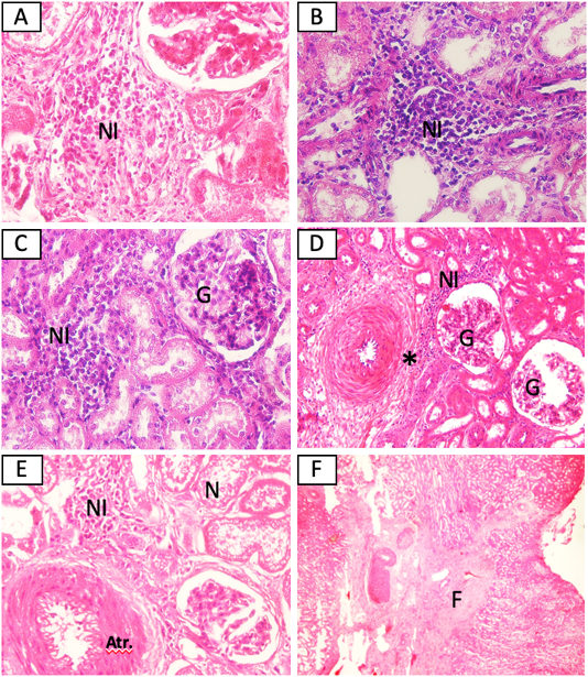
Figure 2
Histopathological changes of kidney from cattle positive with leptospirosis. (A) Sample SPG2, (B) Sample SPG6, (C) Sample SPG7, (D) sample SPG12, (E) Sample SPG16, (F) sample SPG18. NI: Interstitial nephritis, G: glomerulonephritis, *: perivasculitis, N: nephrosis, Atr.: atherosclerosis. H and E (A, B, C, E 40x), (D 20x), (F 4x).






