Advances in Animal and Veterinary Sciences
Research Article
Adv. Anim. Vet. Sci. 8(12): 1402-1409
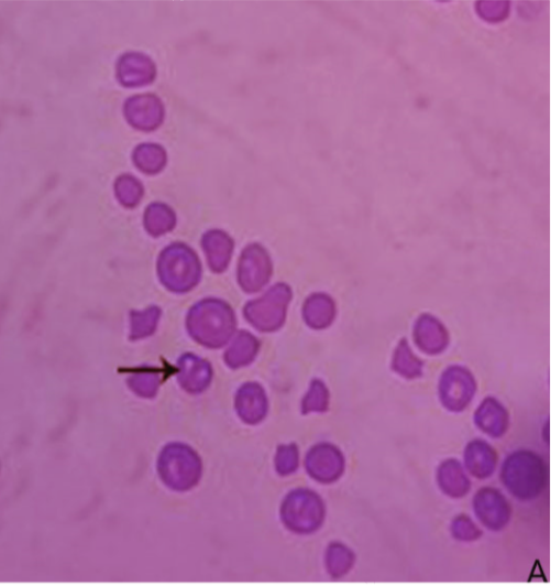
Figure 1
Blood film stained with Giemsa from infected cattle (Group B). Arrow showing B. bigemina infected RBCs.
Figure 2
PCR findings of B. bigemina infected samples. M- Ladder of 100 base pair. (1) Control -ve, (2) B. bigemina control +ve, (3-6) positive babesiosis samples of 211 bp, 7 and 8 negative samples. The positive babesiosis samples showed the specific amplicon size of B. bigemina apical membrane antigen 1 (AMA-1) of 211bp.






