Advances in Animal and Veterinary Sciences
Experimental design.
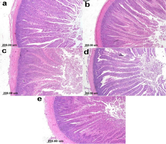
Photomicrograph showing duodenum of broiler chicken supplemented single OA (a) Gr.1 (Formic acid), (b) Gr. 2 (Lactic acid), (c) Gr. 3 (propionic acid), (d) Gr. 4 (Citric acid), (e) Gr. 9 (control group).
Villus height to crypt depth (V:C) ratio of single OA supplemented groups.
Gr. 1 (formic acid), Gr. 2 (lactic acid), Gr. 3 (propionic acid), Gr. 4 (citric acid).
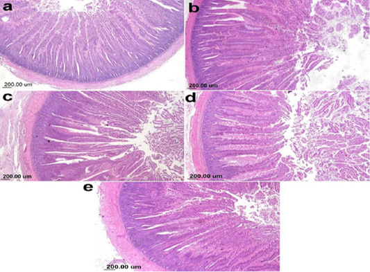
Photomicrograph showing duodenum of broiler chicken supplemented with OAB; (a) Gr. 5 (Formic + Lactic + propionic), (b) Gr. 6 (Formic + Lactic acid + Citric), (c) Gr. 7 (Formic + Propionic + Citric), (d) Gr. 8 (Lactic + Propionic + Citric), (e) Gr. 9 (control group).
Villus height to crypt depth (V:C) ratio of OAB supplemented groups.
Gr. 5 (Formic + Lactic + propionic), Gr. 6 (Formic + Lactic acid + Citric), Gr. 7 (Formic + Propionic + Citric), Gr. 8 (Lactic + Propionic + Citric), Gr. 9 (control group).









