TamuBetMPOATM

Advances in Animal and Veterinary Sciences

Research Article
Adv. Anim. Vet. Sci. 8(s3): 11-17.
 
Figure 1

Data on the distressed status for necrobacteriosis in cattle in the Udmurt Republic in 2011-2016. 

Figure 2

The sum of monthly precipitation in the Udmurt Republic in 2011-2016. 

Figure 3

The average monthly temperature in the Udmurt Republic in 2011-2016. 

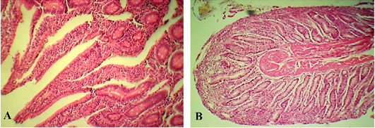
Figure 4

The mucous membranes of small (A) and large (B) intestines in cows with mild hoof lesions. Staining with hematoxylin and eosin. 100 x magnification. 

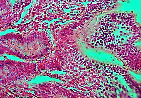
Figure 5

The mucous membrane of the small intestine in cows with moderate hoof lesions. Staining with hematoxylin and eosin. 100 x magnification. 

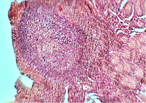
Figure 6

The mucous membrane of the small intestine in cows with severe hoof lesions. Staining with hematoxylin and eosin. 400 x magnification.