Advances in Animal and Veterinary Sciences
Research Article
Adv. Anim. Vet. Sci. 8(s2): 12-17
Figure 1
Histogram of chilled turkey meat.
Figure 2
Histogram of defrosted turkey meat.
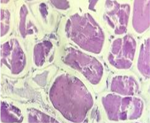
Figure 3
Micro picture of chilled turkey meat in native preparations.
Figure 4
Micro-picture of defrosted turkey meat in native preparations.
Figure 5
Micro-picture of defrosted turkey meat in native preparations.









