Advances in Animal and Veterinary Sciences
Short Communication
Adv. Anim. Vet. Sci. 8(s2): 7-11
Figure 1
The linear dimensions of the small and large intestine.
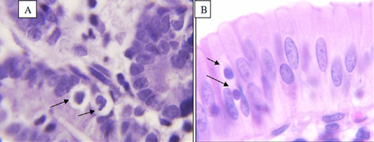
Figure 2
Endogenous stages of eimeria in epithelial cells of the mucous membrane of the small intestine (Coloring: hematoxylin-eosin, magnification: A x400 and B x1000).






