Advances in Animal and Veterinary Sciences
Research Article
Adv. Anim. Vet. Sci. 8(11): 1170-1174
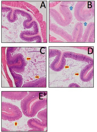
Figure 1
Histopathologic of rat gastric organ (Rattus norvegicus) Inflammatory Bowel Disease. Negative control (A) without treatment; position control indomethacin induction 15 mg/ kg (B); Sumbawa mare milk treatment 0.5mL (C); 1 mL (D); 1.5 mL (E). (HE staining; 100x magnification).





