Advances in Animal and Veterinary Sciences
Research Article
Adv. Anim. Vet. Sci. 8(8): 833-838
Figure 1
The protein concentration of samples assessed by Nanodrop spectrophotometer.
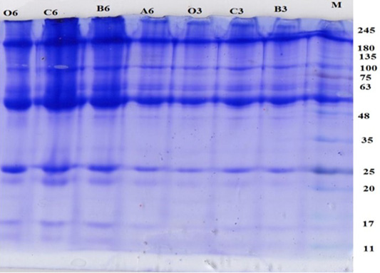
Figure 2
Protein band profile in PO pregnant cows with gestational age of 1, 2 and 3 months and control. M: Maker; A: 1 months of gestation, B: 2 months of gestation; C: 3 months of gestation.
Figure 3
Anti-PSPB antibody titers in NZW rabbits.
Figure 4
PSPB dot blott assay with antibodies.








