Advances in Animal and Veterinary Sciences
Effect of orally administered melamine and /or Moringa oleifera leaves extract (M/MOLE) on testicular weight and gonadosomatic index (a-b). Values are expressed as mean ± SEM of 8-10 rat/group. Means with different superscripts are significantly different at P < 0.05.
Effect of orally administered melamine and /or Moringa oleifera leaves extract (M/MOLE) on serum levels of gonadotropins and sex steroids (A-E). Values are expressed as mean ± SEM of 8-10 rat/group. Means with different superscripts are significantly different at P < 0.05.
Effect of orally administered melamine and /or Moringa oleifera leaves extract (M/MOLE) on testicular mRNA expression of some steroidogenesis enzymes (A-C). Values are expressed as mean ± SEM of 8-10 rat/group. Means with different superscripts are significantly different at P < 0.05.
Effect of orally administered melamine and /or Moringa oleifera leaves extract (M/MOLE) on testicular antioxidant defense. Values are expressed as mean ± SEM of 8-10 rat/group. Means with different superscripts are significantly different at P < 0.05.
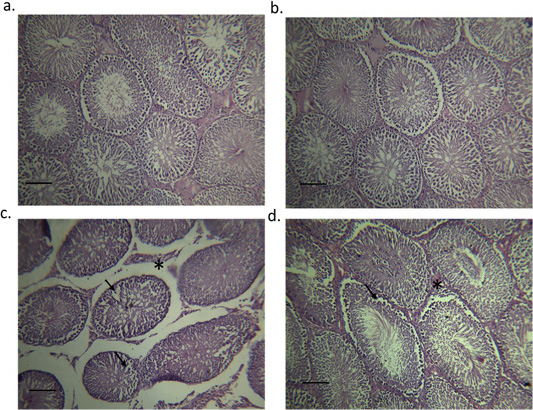
A Photomicrograph of H and E stained testicular cross section in adult male rat (a-d).









