Advances in Animal and Veterinary Sciences
Research Article
Adv. Anim. Vet. Sci. 8(7): 771-776
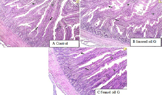
Figure 1
histopathological examination of duodenum showed normal intestinal villi with an increase in goblet cell count in linseed oil group (G2) and fennel oil group (G3).





