Advances in Animal and Veterinary Sciences
illustrated primers of P53 and Androgen receptor (AR) and the house keeping gene (Beta actin)
Effect of 6MP and TQ and its co-administration on testicular weight and sperm parameters
Effect of 6MP and TQ in MDA and anti-oxidants parameters (Catalase activity and Glutathione reduced) in rat testis.
Effect of 6MP and TQ on Androgen receptor mRNA gene expression and serum testosterone in treated male rats.
The effect of 6MP and TQ on testicular caspase-3 and gene expression of P53 mRNA on treated rats .Values are means ± (stander error) SE
Effect of 6MP and TQ on PI3K regulation in rat testis
Effect of TQ and 6MP on TNF-α of testicular tissue of treated rats
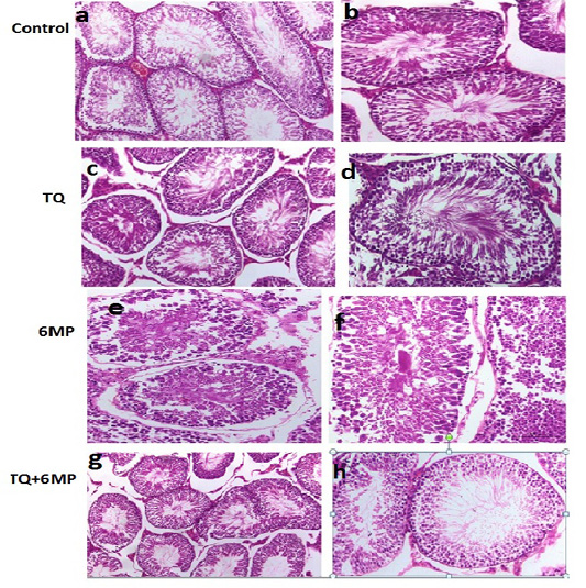
Sections of rat testis stained with Hematoxylin and Eosin revealed the effect of 6MP and TQ in histological architecture of testicular tissues. Testis of control rats (a, b) and (TQ) Thymoquinone (c, d) shows the normal histological appearance of testis , testis of (6MP) 6-mercaptopurine treated rats (e,f) shows narrowing of seminiferous tubules, widening in interstitial spaces, few spermatozoa, germ cell degeneration. Testis of (TQ+6MP) co-administration of TQ and 6MP (g,h) shows almost normal architecture, spermatozoa and Leydig cells are histologically normal, and normal morphology of seminiferous tubules was observed.












