Advances in Animal and Veterinary Sciences
Experimental groups and treatments. Paraquat herbicide (PQ: 1/4 LD50;5 mg/kg b.wt or 1/2 LD50; 10 mg/kg b.wt). Vitamin E (Vit.E; 200 mg/kg b.wt.).
Effect of vitamin E on liver function indicators in administered male Wistar rats.ALT: Alanine transaminase; AST: Aspartate transaminase; ALP: Alkaline phosphatase. Data are expressed as the mean ± SE (n= 7 replicates). Columns carrying different superscripts are significantly different (one-way ANOVA) (p < 0.05).
Effect of vitamin E on liver function indicators in paraquat herbicides (PQ) administered male Wistar rats.TP: total protein; ALB: albumin; TBil: total bilirubin. Data are expressed as the mean ± SE (n= 7 replicates). Columns carrying different superscripts are significantly different (one-way ANOVA) (p < 0.05).
Effect of vitamin E on antioxidant enzymes in paraquat herbicides (PQ) administered male Wistar rats.SOD: superoxide dismutase; GPx: glutathione peroxidase; CAT: catalase. Data are expressed as the mean ± SE (n = 7 replicates). Columns carrying different superscripts are significantly different (one-way ANOVA) (p < 0.05).
Effect of vitamin E on reduced glutathione (GSH) and malondialdehyde (MDA) content in paraquat herbicides (PQ) administered male Wistar rats. Data are expressed as the mean ± SE (n= 7 replicates). Columns carrying different superscripts are significantly different (one-way ANOVA) (p < 0.05).
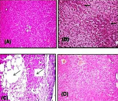
Representative photomicrograph of H&E stained rat liver sections. (A) Control rat showing normal hepatocytes that arranged in radiating rows in between there are normal sinusoids. (B) Rat intoxicated with PQ herbicide at 5 mg/kg (1/4 LD50) showed a moderate congestion and cytoplasmic vacuolation of hepatocytes (arrows). (C) Rat intoxicated with PQ at 10 mg/kg induced an increase in the fibrous connective tissue in the portal area associated with few mononuclear inflammatory cells infiltration and sinusoidal dilatation (arrows). (D) Rats given orally PQ at 10 mg/kg plus Vit. E revealed almost normal histological architecture of hepatic lobule.










