Advances in Animal and Veterinary Sciences
Case Report
Adv. Anim. Vet. Sci. 8(6): 629-632
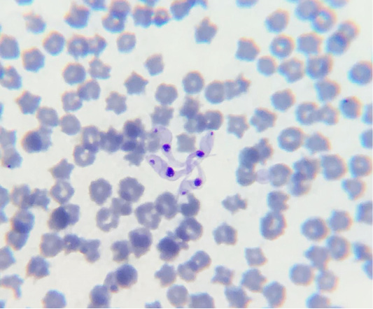
Figure 1
Trypomastigote forms of T. vivax with rounded posterior end, a weakly developed undulating membrane, central nucleus and terminal kinetoplast.





