Advances in Animal and Veterinary Sciences
Notation differences (a and b) show a significant difference between treatments for the relative level of HO-1 (P <0.05).
A significant differences notation (a, b c and d) showed between treatments for the relative level of Nrf2 (P <0.05). T1, T2 and T3 showed lower Nrf2 levels than negative controls. This shows that robusta green coffee extract can reduce levels of Nrf2.
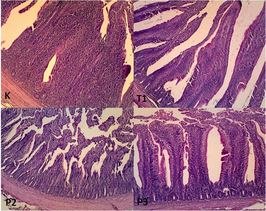
Histophatology of duodenum organ in magnification 400x. K: Layers arrangement of epithelium columnar simplex, no erosion found (Magnification 400x). T1: Layers arrangement of simple columnar epithelium, found a slight erosion (Magnification 400x). P2: Layers arrangement of epithelium simple columnar, found a slight erosion (Magnification 400x). P3: Layers arrangement of epithelium simple columnar, found an erosion (Magnification 400x).







