Advances in Animal and Veterinary Sciences
(a) Gross appearance of nodular masses having different sizes present in the lips and gingiva. (b) Multiple nodular mass present at the tongue margin.
Reconstructed tongue margins following the surgical excision of nodular cauliflower shaped nodules.
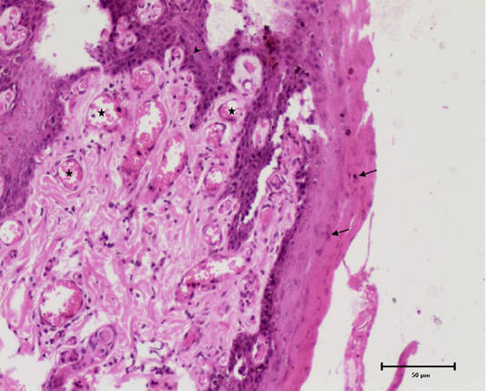
Histomicrograph showing diffuse epidermal hyperplasia with parakeratosis (arrows), broad and elongated rete pegs (arrowhead) and neovascularization of superficial dermis (star). H and E, 10x.
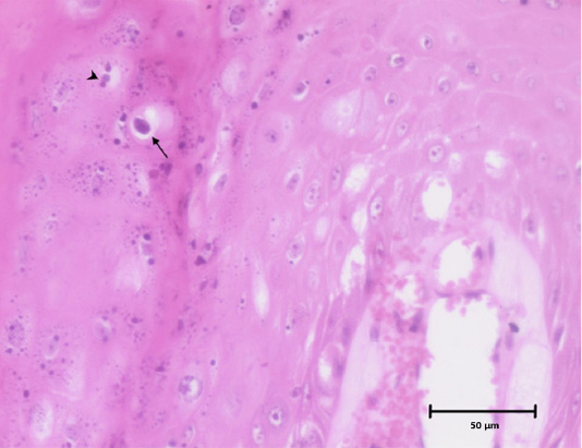
Histomicrograph showing koilocyte with a clear perinuclear cytoplasmic vacuolization (arrow) and clumps of keratohyalin granules (arrow head) in stratum granulosum of epidermis. H and E, 10x.








