Advances in Animal and Veterinary Sciences
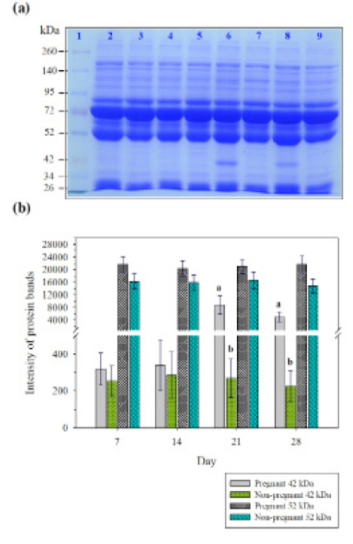
(A) Separation of serum proteins derived from pregnant and non-pregnant goat on day 7, 14, 21, and 28 of post-AI using polyacrylamide electrophoresis gel (SDS-PAGE). Lane 1; protein marker, lane 2; pregnant goat on day 7 post-AI, lane 3; non-pregnant goat on day 7 post-AI, lane 4; pregnant goat on day 14 post-AI, lane 5; non-pregnant goat on day 14 post-AI, lane 6; pregnant goat on day 21 post-AI, lane 7; non-pregnant goat on day 21 post-AI, lane 8; pregnant goat on day 28 post-AI, and lane 9; non-pregnant goat on day 28 post-AI. (B) Intensity of protein bands (42 and 52 kDa) using ImageJ software analysis.
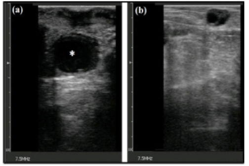
Using ultrasonography to confirm pregnancy in goats 45 days after artificial insemination. A) Pregnant and b) Non-pregnant.






