Advances in Animal and Veterinary Sciences
Research Article
Adv. Anim. Vet. Sci. 7(11): 944-949
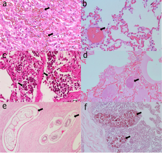
Figure 1
Common histopathological lesions observed in septicaemia (a-b), bacterial pneumonia (c-d), and gastrointestinal parasitic infection (e-f). (a) congestion (arrows) of liver. (b) disseminated intravascular coagulation (arrows) in the lungs.(c) presence of inflammatory cells (arrows) in the alveolar spaces. (d) presence of bacterial colonies (arrow) and pulmonary oedema. (e) cross section of helminthes (arrows) in the gastrointestinal tract. (f) presence of different stages of protozoa (arrows) in the intestinal mucosa.





