Advances in Animal and Veterinary Sciences
Short Communication
Adv. Anim. Vet. Sci. 7(9): 732-737
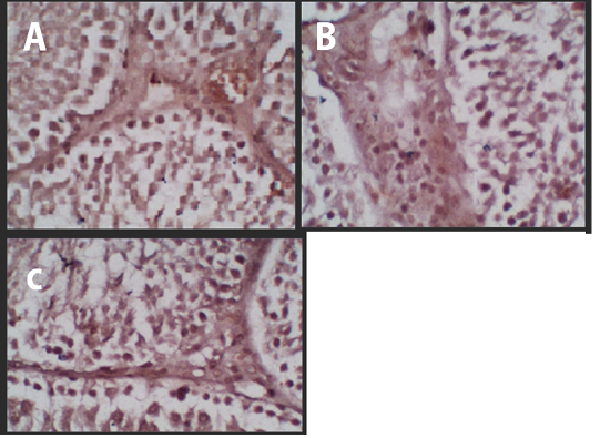
Figure 1
Immunohistochemistry of the p53 Protein Expression. (A) Negative Control, (B) Treatment 1 (T1) with Cepoka eggplant extract, (C) Treatment 2 (T2) with Kapok seed extract.
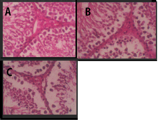
Figure 2
Histology of Leydig cells. (A) Negative Control, (B) Treatment 1 with Cepoka eggplant extract, (C) Treatment 2 with Kapok seed extract.






