Advances in Animal and Veterinary Sciences
Research Article
Adv. Anim. Vet. Sci. 7(7): 557-565
Figure 1
(A) Effect of ginseng and moringa olifera on time/second taken by rat to reach the platform in MWM during training days (learning curve). (B) Effect of ginseng and moringa olifera on time/second spent by rats in target quadrant (Q4) in MWM in probe trial.
* Superscript are significant at P<0.05.
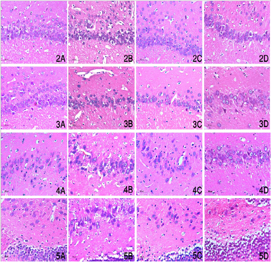
Figure 2-5
Sagittal section of brains in different groups showed hippocampus proper including Cornu Ammonis portions including CA1, CA2, CA3 and CA4 (Figures 2,3,4,5 respectively) in control, ADM, Ginseng and Moringa groups (Figures A, B, C, D respectively) (magnification power X400).






